首页
本地生活
周边旅游
商业杂志
幼儿教育
KRKPL
美食
更多
酒店
健康
工业技术
娱乐
体育
时尚
新闻
汽车
房产
亲子
科技
财经
首页
本地生活
周边旅游
商业杂志
幼儿教育
KRKPL
美食
酒店
健康
工业技术
娱乐
体育
时尚
新闻
汽车
房产
亲子
科技
财经
汽车
全国人大代表马永平:建议将太阳能光热发电纳入容量电价政策体系
中新网3月9日电(李玉素 赵丹媚) 长期关注生态环境的全国人大代表、河北省保定市第二医院副院长马永平建议尽快将太阳能光热发电纳入容量电价政策体系,参照执行当地煤电容量电价标准,充分释放其系统支撑价值,保障项
03-09
脑机接口首入政府工作报告,离全面落地还有多远?
中新网北京3月9日电(记者 查志远 实习生 贾圣仪)脑机接口又火了。 2026年,脑机接口首次写入政府工作报告,与未来能源、量子科技、具身智能、6G并列,被明确为培育发展的未来产业之一。
03-09
(全国两会)“数”说“两高”报告:中国司法公正见力度显温度
中新社北京3月9日电 题:“数”说“两高”报告:中国司法公正见力度显温度
03-09
印尼盾兑美元汇率触及17000关口 财长称无需过度担忧
中新社雅加达3月9日电 (记者 李志全)受国际油价飙升及市场避险情绪升温影响,印尼盾兑美元汇率9日盘中一度触及17000关口。印度尼西亚财政部长普尔巴亚表示,印尼经济仍处扩张阶段,市场无需过度担忧。
03-09
中国秋粮收购量超3亿吨
中新社北京3月9日电 (记者 陈溯)记者9日从中国国家粮食和物资储备局获悉,截至目前,中国各类粮食经营主体累计收购秋粮超3亿吨,为近年来较高水平,市场价格稳中有升,优质优价特征更加突出。
03-09
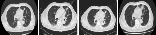
上海医生仅用35分钟一针消融病灶 机器人导航精准治疗
近日,上海市东方医院肿瘤科周彩存教授团队成功为一名高龄、肺功能基础差且病灶紧贴心脏的肺癌患者实施了机器人辅助下经皮穿刺消融手术
03-04
金饰克价跌回1603元 金价波动引关注
2026年3月1日,国际黄金价格升至5279.8美元/盎司。品牌金饰报价在1555至1608元/克之间,银行金条价格差异较大,水贝市场批发价约1330元/克,回收价约1148元/克
03-04
利弗莫尔中概股龙头指数收跌3.67%
利弗莫尔中概股龙头指数收跌3.67%。成分股中,南茂跌超11%,希尔威金属矿业跌9%,金山云、晶科能源跌超8%,小马智行、信也科技等跌超7%,小鹏汽车、唯品会等跌超6%,爱奇艺、奇富科技等跌逾5%;AHG涨10%,携程网、网易小幅上涨。...
03-04
男子买金条打三金时发现铼粉 掺假事件引发关注
湖南岳阳的王先生最近遇到了一件令人揪心的事情。他在中国黄金花费19380元购买了20克金条,准备用于结婚打三金。然而,在打金店进行最后制作时,意外发现金条内含有杂质,怀疑是掺假。经过专业仪器检测,确认金条中掺有铼粉
03-04
小伙退伍归来 全村敲锣打鼓唱歌欢迎
3月2日。贵州从江。据贵阳晚报最黔沿报道,从江小伙黄云龙退伍返回老家,全村的乡亲们站在村口迎接,敲锣打鼓唱歌欢迎黄云龙回家。...
03-04
首页
上一页
12
13
14
15
16
17
18
下一页
尾页
每页10条(第
15
/ 234 页) 共 2340 条
友情链接
最新
小猿AI学习机T6荣登三大电商平台4000-5000元档学习机销售额第一
清华大学心理与认知科学系携手猿编程成立AI教育研究中心,共筑学术高地
茅台提价,其他白酒跟吗?
©版权 2009-2020 四方新闻
联系我们
SiteMap